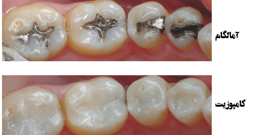
پر کردن دندان با آمالگام، مزایا و معایبیکی از روشهای ترمیم دندان، پر کردن دندان است که به بازسازی و احیای دندانهای پوسیده، آسیب دیده یا فرسوده کمک میکند.پر کردن دندان یکی از بهترین خدمات دندانپزشکی است که همزمان عملکرد طبیعی دندان که دچار مشکل شده را بازیابی می کند و ظاهر دندان را اصلاح می کند.در طول تاریخ، دندانپزشکان و کسانی که قصد بهبود سلامت دهان و دندان را داشته اند برای پر کردن دندانهای آسیب دیده از مواد پرکننده مختلفی استفاده کرده اند که از جمله ی این مواد می توان به طلای خالص، نقره(آمالگام)، کامپوزیت و ... اشاره نمود.پر كردن دندان با مادهی آمالگام یکی از شیوههای قدیمی و در عین حال رایج در بخش دندانپزشکی است که برای پر کردن دندان های فرسوده و در برخی موارد شکسته شده استفاده می شود و در نوع خود از مزایای زیادی برخوردار است. ما در ادامه این مقاله به توضیح درباره ی ماهیت آمالگام، نحوه پرکردن دندان با آمالگام، مزایا و معایب آن پرداخته ایم. با ما همراه باشید.آمالگام چیست؟آمالگام (amalgam) در واقع یک ماده سیاه با ماهیت فلزی است. از جمله ترکیبات اصلی این ماده جیوه مایع، مس، قلع و نقره هستند. در هنگام پر کردن دندان با آمالگام، پودرهای فلزی چون مس، قلع، نقره و جیوهی مایع با یکدیگر مخلوط میشوند که در نهایت ترکیبی خمیری شکل و منعطف به دست میآید. نقره به آمالگام رنگ سیاه مایل به خاکستری تیره میدهد. این ترکیب روی حفره ایجاد شده در دندان قرار گرفته میشود و سپس بسیار سفت شده و سختی مشابه دندان طبیعی پیدا میکند.آمالگام سفت شده به دندان استحکام و دوام داده، عملکرد دندان را بازیابی کرده و از پوسیدگی بیشتر آن پیشگیری میکند.مراحل ترمیم دندان با آمالگاممراحل ترمیم دندان با آمالگام معمولا شامل مراحل زیر است:1. مشاوره و بررسی: این فرآیند با معاینه کامل دندان پوسیده یا آسیب دیده شروع می شود، که ممکن است نیاز به عکس برداری با اشعه ایکس برای شناسایی وسعت و محل پوسیدگی یا آسیب دندان باشد. سپس دندانپزشک عکس رادیوگرافی شما را مورد بررسی قرار داده که آیا ترمیم آمالگام درمان مناسبی هست یا خیر؟2. بیحس کردن: در گام بعدی برای اطمینان از راحتی بیمار در طول ترمیم دندان، دندانپزشک یک بی حس کننده موضعی تزریق می کند تا ناحیه آسیب دیده را بی حس کند و از درد و ناراحتی فرد جلوگیری کند. 3. آمادهسازی دندان: دندانی که قرار است با آمالگام پر شود، باید آماده شود. دندانپزشک از مته یا لیزر دندان برای برداشتن قسمت پوسیده یا آسیب دیده دندان استفاده می کند. در این مرحله از ترمیم دندان، دندان به گونه ای شکل می گیرد که یک حفره تمیز و آماده ایجاد می شود که پرکننده آمالگام در آن قرار گیرد.4. تهیه آمالگام مورد نیاز و آماده کردن آن:همانطور که قبلا اشاره کردیم آمالگام دندانی مخلوطی از فلزات از جمله جیوه، نقره، قلع و مس است. دندانپزشک با دقت آمالگام را با غلظت مناسب مخلوط می کند و حفره آماده شده لایه لایه با مواد آمالگام پر می شود.معمولا با قرار دادن هر لایه دندانپزشک با استفاده از کندانسور، آمالگام را متراکم میکند. این مرحله کمک میکند تا آمالگام بهتر با حفره دندان، گیر مکانیکی ایجاد کند. دندانپزشک این کار را تا زمانی انجام میدهد که آمالگام کمی بالاتر از حفره را نیز پر کند.5. استفاده از کارور برای ایجاد شیارهای دندان: در این مرحله هنگامی که حفره توسط آمالگام پر شد، برای اینکه بایت بیمار بعد از پر کردن دندان به هم نخورد، دندانپزشک قبل از برنیش کردن دندان، از کارور استفاده میکند. این وسیله به دندانپزشک کمک میکند تا علاوه بر برداشتن قسمتهای اضافی آمالگام، شیارهای دندان را همانند یک دندان طبیعی ایجاد کند. این کار سبب میشود تا دندان بالایی بتواند همانند سابق روی دندان ترمیم شده قرار بگیرد.6. تکمیل و پولیش:پس از تنظیم و اصلاح، آمالگام به طور نهایی در جای خود محکم میشود. دندانپزشک با استفاده از یک برنیشر، شروع به تکمیل و پولیش آمالگام کرده تا سطح صاف و صیقلی را ایجاد کند و ظاهر طبیعی به دندان ببخشد.7. بررسی نهایی و توجیهات مراقبتی: در این مرحله، دندانپزشک اطمینان حاصل میکند که آمالگام به درستی نصب شده و عملکرد صحیحی دارد. همچنین، توجیهات مراقبتی برای نگهداری و بهداشت دندانهای پر شده با آمالگام را به شما ارائه میدهد. این شامل راهنماییهایی درباره بهداشت دندانها و توصیه به نخوردن غذا و نوشیدنیهایی است که ممکن است آمالگام را تحت تأثیر قراردهند.به این نکته توجه داشته باشید که مراحل ترمیم دندان با آمالگام ممکن است در بعضی موارد متفاوت باشد و بستگی به شرایط خاص هر فرد و تصمیمات دندانپزشک دارد.مزایا و معایب پر کردن دندان با استفاده از آمالگام (ماده سیاه)پر کردن دندان با آمالگام در نوع خود مزایا و معایبی داشته که با توجه به آنها، میتوان این روش را به عنوان شیوه مناسب یانامناسب برای ترمیم دندان در نظر گرفت.مزایای پر کردن دندان با آمالگامطول عمر بالا:یکی از مزایای دندان پر شده با آمالگام دوام و طول عمر بالا است. به طور کلی، دندانهایی که با آمالگام پر میشوند، دوام بالای بیش از ۱۰ سال برای آنها تخمین زده شده است.قیمت مناسب:قیمت پر کردن دندان با آمالگام در مقایسه با دیگر روشهای پر کردن دندان کمتر و مناسب تر است. این مقرون به صرفه بودنباعث میشود، بسیاری از افراد این شیوه را برای ترمیم دندان های خود ترجیح دهند.استحکام بالا:آمالگام از آن دسته مواد پرکننده دندان بوده که از استحکام و مقاومت بالایی برخوردار است. این ماده مقاومت بالایی در برابر سایش و فشارهای جویدن دارد که از این جهت میتواند گزینه مناسب برای پر کردن دندانهای عقبی و آسیابی باشد. همچنین تقویت دندانهای ترمیم شده با آمالگام از ویژگی مثبت آن است.قدرت پرکنندگی: آمالگام توانایی پرکردن دندانهای بزرگ و شیب دار را دارد.پایداری:آمالگام به طور عمومی پایداری خوبی داشته و تحت تأثیر گرما و سرما تغییر کمی در حجم نسبت به دندان اصلی خود دارد.روند سریع در ترمیم دندان:روند پرکردن با آمالگام معمولاً سریعتر از روشهای دیگر است، به عنوان مثال پرکردن با کامپوزیت وقت بیشتری میگیرد.فرآیند پر کردن دندان با این شیوه با در نظر گیری مراحل مختلف، میتواند کمتر از یک ساعت طول بکشد.معایب به کار گیری آمالگام در پر کردن دندانعدم تطابق با رنگ طبیعی دندان:یکی از بزرگ ترین معایب پر کردن دندان با آمالگام، رنگ تیرهی آن است. آمالگام دارای رنگ خاکستری تیره است که به طور قابل توجهی با رنگ طبیعی دندان متفاوت است. این موضوع موجب میشود، بسیاری از افراد با در نظر گیری جنبه زیبایی دندانها از این روش برای پر کردن دندان هایشان استفاده نکنند.داشتن جیوه:همان طور که اشاره شده است، جیوه یکی از ترکیبات اصلی آمالگام است که اثرات منفی آن بر روی سلامت انسان هموارهبحثبرانگیز بوده است. طبق تحقیقات انجام شده اگر میزان و نحوه استفاده از جیوه بر اساس پروتکل و استانداردهای تعیین شدهباشد، عوارض جانبی آن بسیار کمتر خواهد بود.حساسیت به گرما و سرما:آمالگام حساسیت بیشتری نسبت به تغییرات دما (مانند خوراکی های سرد و گرم) دارد. این مسئله ممکن است منجر به عدم راحتی و احساس درد در برخی از افراد شود. دندان حساس به گرما و سرما فرد را اذیت خواهد کرد.نیاز به حفظ حداکثری:برای استفاده از آمالگام، نیاز به فضای کافی در دهان برای قرار دادن و تثبیت آن وجود دارد. این ممکن است در برخی مواردمحدودیتهای فضایی ایجاد کند و نیاز به حذف بخشی از ساختار سالم دندان داشته باشد.عدم رنگپذیری:آمالگام در طول زمان ممکن است اکسید شود و باعث تغییر رنگ دندان در محدوده پرکرده شود.لازم به ذکر است که استفاده از آمالگام همچنان در برخی موارد خاص در دندانپزشکی مورد استفاده قرار میگیرد، اما با توجه به پیشرفت فناوری، روشهای دیگر پرکردن دندان با معایب کمتر و جنبه های زیبایی بیشتری در درمان های دندانپزشکی قابل استفاده هستند.بعد از پر کردن دندان با مواد سیاه چه بایدها و نبایدهایی را باید رعایت کنیم؟اگرچه پرکردن دندان برای درمان پوسیدگی، یک روش دندانپزشکی بسیار رایج است، ولی ممکن است بسیاری از بیماران پس از پر کردن دندان درد و ناراحتی خفیف تا متوسطی را تجربه کنند. در ادامه چند نکته مفید در مورد کارهایی که باید بعد از پر کردن دندان انجام داد را با هم بررسی می کنیم.درد بعد از پر کردن دندانیکی از شایعترین عللی که ممکن است بعد از پر کردن دندان، درد به سراغتان بیاید، این است که ارتفاع خود پرکردگی دندان خیلی زیاد باشد و با سایر دندانها هماهنگی لازم را نداشته باشد . اگرچه دندانپزشک شما در هنگام پر کردن، تمام تلاش خود را میکند تا ارتفاع پرکردگی را به درستی به دست آورد. ممکن است وقتی شروع به حرکت دادن فک، صحبت کردن و جویدن میکنید، متوجه شوید که پرکردگی بجای اینکه مشکل شما را برطرف کند مشکل ساز نیز شده است. در مورد صاف کردن یا تغییر شکل پر کردن با دندانپزشک خود تماس بگیرید. این موضوع بسیار مهم است زیرا اگر پرکردگی از بقیه دندانهای شما بالاتر باشد، دندان در معرض خطر بیشتری برای ترک خوردن قرار دارد.درد در دندانهای مجاور دندان پر شدهپس از پرکردن دندان، برخی از افراد ممکن است در دندانهای کنار دندانی که پر کرده اند، درد احساس کنند. این درد طبیعی است و نشان نمیدهد که مشکلی در دندان شما وجود دارد. بیشتر اوقات، دندان پر شده، فقط سیگنالهایی را به دندانهای مجاور منتقل میکند. این درد باید طی یک تا دو هفته کاهش پیدا کند.حساسیت بعد از پر کردن دندانتا سه هفته پس از پر کردن دندان، حساسیت به هوا و غذای سرد یا گرم (یا نوشیدنیها) طبیعی است. همچنین ممکن است متوجه افزایش حساسیت ناشی از فشار گاز گرفتن روی پرکردگی دندان جدید شوید، به خصوص اگر حفره عمیقتری برای پرکردن دندان ایجاد شده باشد. برای جلوگیری از حساس شدن دندانها پس از پر کردن، میتوانید از خمیر دندانی استفاده کنید که برای دندانهای حساس تولید شده است. همچنین توصیه می شود از مصرف غذاهای خیلی گرم یا خیلی سرد بپرهیزید و در چند هفته اول سعی کنید غذا را با سمت دیگر دندان های خود بجوید. اگر حساسیت بعد از دو هفته از بین نرفت، با دندانپزشک خود تماس بگیرید.نیاز به عصب کشی بعد از پر کردن دنداناگر پس از پرکردن دندان خود همچنان علائم دندان درد ((مانند ضربان، درد شدید یا درد مداوم)) را داشتید ممکن است نشانه ای از این باشد که پوسیدگی کاملاً عمیق در پالپ دندان شما قرار دارد. در این صورت ممکن است نیاز به عصب کشی باشد. در این حالت نیاز به معاینه مجدد دارید و باید به دندانپزشک خود مراجعه کنید.لبه تیز پر کردگی دندانهمانطور که گفته شد، ممکن است متوجه شوید که هنگامیکه دندان های دو فک خود را روی هم قرار می دهید و یا زمانی که ماده بیهوشی از بین میرود، پر شدگی دندان به اندازه زمانی که روی صندلی دندانپزشکی بودید راحت نیست. همچنین ممکن است احساس کنید در دندان پر شده لبههای تیزی وجود دارد که باید صاف شوند. برای پیگیری سریع با دندانپزشک خود تماس بگیرید.
چطور از دندان پر شده خود مراقبت کنیم؟پر کردن دندان معمولاً به مراقبت های ویژه نیازی ندارد و همانطور که از سایر دندان های خود مراقبت می کنید، مراقبت از دندان پر شده نیز به همان اندازه کافیست. پس از ترمیم، می توانید اقدامات زیر را انجام دهید:
* مطمئن شوید اثر بیحسی کاملا از بین رفته است و شروع به جویدن کنید* اگر اثر بیحسی همچنان وجود دارد، هیچ چیز خیلی گرم یا خیلی سرد مصرف نکنید* ممکن است در لثه اطراف ناحیه پر شده خود احساس درد کنید، این درد فقط برای چند روز ادامه خواهد داشت و می توانید مسکن مصرف کنید* تا چند روز غذاهای سفت و چسبناک نخورید* اگر عادت به دندان قروچه کردن دارید، از محافظ دهان برای محافظت از پرکردگی خود استفاده کنید* اگر برای مدت طولانی حساسیت دندانی داشتید یا پرکردگی دندان از دندان خارج شد، فوراً به دندانپزشک خود مراجعه کنیدبهداشت کامل دهان و دندان مانند تمیز کردن، مسواک زدن، دهانشویه و نخ دندان را رعایت کنید